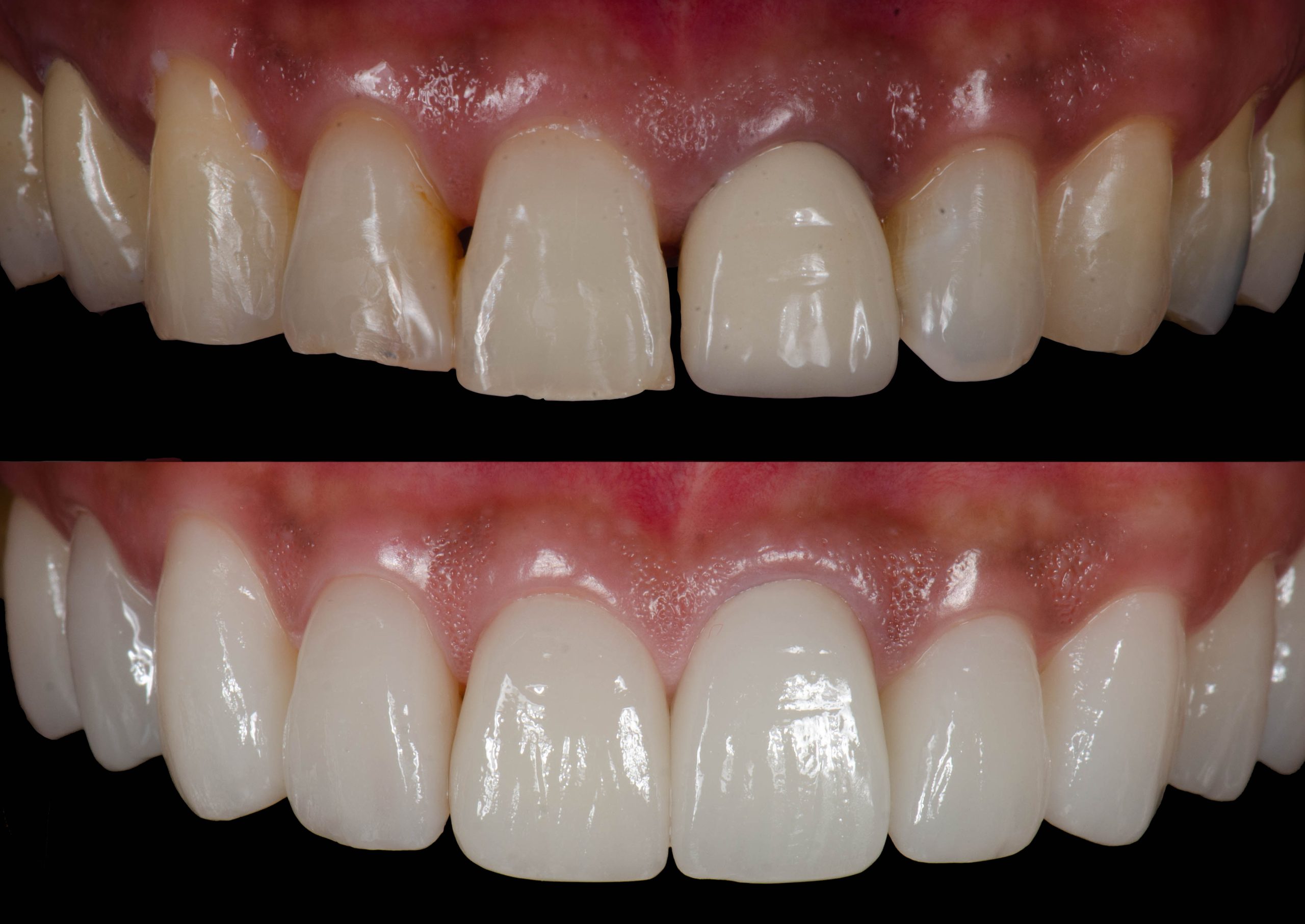
Country Center Dental’s life-changing porcelain veneers can give you the smiling you’ve been dreaming of. We work with natural-looking porcelain to cover existing teeth in order to help improve tooth color, close gaps in teeth, and to align your teeth correctly.
We utilize the newest porcelain material to create natural shapes that improve your smile and that will last for years. Combined with a teeth whitening process, Porcelain Veneers provide just what you’re hoping for with your new smile.


